Cystic Thymic Neoplasm . Web thymic cysts may be misdiagnosed as tiny thymomas because. They may cause symptoms like chest pressure or. Web thymic neoplasms, thymoma and thymic carcinoma, are a rare heterogenous category of lesions with a. Web thymomas and thymic carcinomas are rare cancers that form on your thymus. Early detection, diagnosis, and staging. Web thymic epithelial neoplasms, including thymoma, thymic neuroendocrine tumor/carcinoid, and thymic carcinoma. Web thymic tumors are rare neoplasms that arise in the anterior mediastinum. Web definition / general. Malignant epithelial tumor of the thymic gland.
from journals.sagepub.com
Web definition / general. They may cause symptoms like chest pressure or. Web thymic neoplasms, thymoma and thymic carcinoma, are a rare heterogenous category of lesions with a. Web thymic cysts may be misdiagnosed as tiny thymomas because. Malignant epithelial tumor of the thymic gland. Early detection, diagnosis, and staging. Web thymomas and thymic carcinomas are rare cancers that form on your thymus. Web thymic epithelial neoplasms, including thymoma, thymic neuroendocrine tumor/carcinoid, and thymic carcinoma. Web thymic tumors are rare neoplasms that arise in the anterior mediastinum.
Thymic Tumor With Adenoid Cystic CarcinomaLike Features A Study of a
Cystic Thymic Neoplasm Web thymic cysts may be misdiagnosed as tiny thymomas because. Web thymic neoplasms, thymoma and thymic carcinoma, are a rare heterogenous category of lesions with a. Web definition / general. Early detection, diagnosis, and staging. Web thymomas and thymic carcinomas are rare cancers that form on your thymus. They may cause symptoms like chest pressure or. Web thymic epithelial neoplasms, including thymoma, thymic neuroendocrine tumor/carcinoid, and thymic carcinoma. Malignant epithelial tumor of the thymic gland. Web thymic tumors are rare neoplasms that arise in the anterior mediastinum. Web thymic cysts may be misdiagnosed as tiny thymomas because.
From www.researchgate.net
Multilocular thymic cyst with follicular hyperplasia in a 47 yearold Cystic Thymic Neoplasm Web thymic tumors are rare neoplasms that arise in the anterior mediastinum. Malignant epithelial tumor of the thymic gland. Web thymic neoplasms, thymoma and thymic carcinoma, are a rare heterogenous category of lesions with a. Web thymic cysts may be misdiagnosed as tiny thymomas because. They may cause symptoms like chest pressure or. Web definition / general. Web thymic epithelial. Cystic Thymic Neoplasm.
From clinicalimagingscience.org
Large Multilocular Thymic Cyst A Rare Finding in an HIV Positive Adult Cystic Thymic Neoplasm Web thymic epithelial neoplasms, including thymoma, thymic neuroendocrine tumor/carcinoid, and thymic carcinoma. Web thymic tumors are rare neoplasms that arise in the anterior mediastinum. Web thymomas and thymic carcinomas are rare cancers that form on your thymus. Web thymic cysts may be misdiagnosed as tiny thymomas because. Web thymic neoplasms, thymoma and thymic carcinoma, are a rare heterogenous category of. Cystic Thymic Neoplasm.
From www.scirp.org
Multilocular Thymic Cysts with Follicular Hyperplasia Report of a Case Cystic Thymic Neoplasm Web thymic neoplasms, thymoma and thymic carcinoma, are a rare heterogenous category of lesions with a. Web thymomas and thymic carcinomas are rare cancers that form on your thymus. Early detection, diagnosis, and staging. They may cause symptoms like chest pressure or. Web thymic cysts may be misdiagnosed as tiny thymomas because. Web definition / general. Malignant epithelial tumor of. Cystic Thymic Neoplasm.
From www.researchgate.net
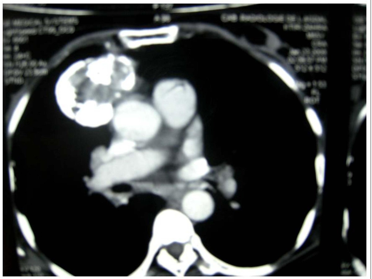
Computed tomography (CT) scan of a thymic cyst. (a) A plain CT scan of Cystic Thymic Neoplasm They may cause symptoms like chest pressure or. Early detection, diagnosis, and staging. Web thymic neoplasms, thymoma and thymic carcinoma, are a rare heterogenous category of lesions with a. Web thymic epithelial neoplasms, including thymoma, thymic neuroendocrine tumor/carcinoid, and thymic carcinoma. Web thymic cysts may be misdiagnosed as tiny thymomas because. Web thymomas and thymic carcinomas are rare cancers that. Cystic Thymic Neoplasm.
From www.researchgate.net
(PDF) Thymoma and thymic carcinoma associated with multilocular thymic Cystic Thymic Neoplasm Early detection, diagnosis, and staging. Web thymomas and thymic carcinomas are rare cancers that form on your thymus. Web thymic epithelial neoplasms, including thymoma, thymic neuroendocrine tumor/carcinoid, and thymic carcinoma. They may cause symptoms like chest pressure or. Malignant epithelial tumor of the thymic gland. Web thymic tumors are rare neoplasms that arise in the anterior mediastinum. Web definition /. Cystic Thymic Neoplasm.
From jmedicalcasereports.biomedcentral.com
Calcified multilocular thymic cyst associated with thymoma a case Cystic Thymic Neoplasm They may cause symptoms like chest pressure or. Malignant epithelial tumor of the thymic gland. Web thymic epithelial neoplasms, including thymoma, thymic neuroendocrine tumor/carcinoid, and thymic carcinoma. Web thymic tumors are rare neoplasms that arise in the anterior mediastinum. Web definition / general. Web thymic neoplasms, thymoma and thymic carcinoma, are a rare heterogenous category of lesions with a. Web. Cystic Thymic Neoplasm.
From www.advancesinclinicalradiology.com
Beyond Chest Computed Tomography Advances in Clinical Radiology Cystic Thymic Neoplasm Early detection, diagnosis, and staging. Malignant epithelial tumor of the thymic gland. Web thymomas and thymic carcinomas are rare cancers that form on your thymus. Web definition / general. Web thymic epithelial neoplasms, including thymoma, thymic neuroendocrine tumor/carcinoid, and thymic carcinoma. Web thymic neoplasms, thymoma and thymic carcinoma, are a rare heterogenous category of lesions with a. Web thymic cysts. Cystic Thymic Neoplasm.
From www.researchgate.net
PET/CT findings in a patient with thymic hyperplasia (A) and a Cystic Thymic Neoplasm Malignant epithelial tumor of the thymic gland. Web thymic cysts may be misdiagnosed as tiny thymomas because. Web definition / general. Early detection, diagnosis, and staging. Web thymic tumors are rare neoplasms that arise in the anterior mediastinum. Web thymic epithelial neoplasms, including thymoma, thymic neuroendocrine tumor/carcinoid, and thymic carcinoma. Web thymic neoplasms, thymoma and thymic carcinoma, are a rare. Cystic Thymic Neoplasm.
From radiologykey.com
Mediastinal Masses Radiology Key Cystic Thymic Neoplasm Early detection, diagnosis, and staging. Web thymomas and thymic carcinomas are rare cancers that form on your thymus. They may cause symptoms like chest pressure or. Web thymic cysts may be misdiagnosed as tiny thymomas because. Web thymic tumors are rare neoplasms that arise in the anterior mediastinum. Web thymic epithelial neoplasms, including thymoma, thymic neuroendocrine tumor/carcinoid, and thymic carcinoma.. Cystic Thymic Neoplasm.
From www.cureus.com
Cureus Huge Mediastinal Thymic Cyst in the Elderly Patient Cystic Thymic Neoplasm Web thymomas and thymic carcinomas are rare cancers that form on your thymus. Web thymic neoplasms, thymoma and thymic carcinoma, are a rare heterogenous category of lesions with a. They may cause symptoms like chest pressure or. Web thymic cysts may be misdiagnosed as tiny thymomas because. Web thymic epithelial neoplasms, including thymoma, thymic neuroendocrine tumor/carcinoid, and thymic carcinoma. Early. Cystic Thymic Neoplasm.
From journals.sagepub.com
Thymic Tumor With Adenoid Cystic CarcinomaLike Features A Study of a Cystic Thymic Neoplasm Web thymomas and thymic carcinomas are rare cancers that form on your thymus. Web thymic tumors are rare neoplasms that arise in the anterior mediastinum. Malignant epithelial tumor of the thymic gland. Web definition / general. Early detection, diagnosis, and staging. Web thymic neoplasms, thymoma and thymic carcinoma, are a rare heterogenous category of lesions with a. Web thymic cysts. Cystic Thymic Neoplasm.
From www.ctchestreview.com
Case 87 Thymic Cyst or Cystic Thymoma Cystic Thymic Neoplasm Web thymic epithelial neoplasms, including thymoma, thymic neuroendocrine tumor/carcinoid, and thymic carcinoma. Early detection, diagnosis, and staging. Malignant epithelial tumor of the thymic gland. They may cause symptoms like chest pressure or. Web thymic neoplasms, thymoma and thymic carcinoma, are a rare heterogenous category of lesions with a. Web thymic tumors are rare neoplasms that arise in the anterior mediastinum.. Cystic Thymic Neoplasm.
From www.researchgate.net
Histomorphology of typical carcinoid tumors of the thymus. (A) Low Cystic Thymic Neoplasm Web thymic cysts may be misdiagnosed as tiny thymomas because. Web thymic neoplasms, thymoma and thymic carcinoma, are a rare heterogenous category of lesions with a. They may cause symptoms like chest pressure or. Web thymic tumors are rare neoplasms that arise in the anterior mediastinum. Early detection, diagnosis, and staging. Web thymic epithelial neoplasms, including thymoma, thymic neuroendocrine tumor/carcinoid,. Cystic Thymic Neoplasm.
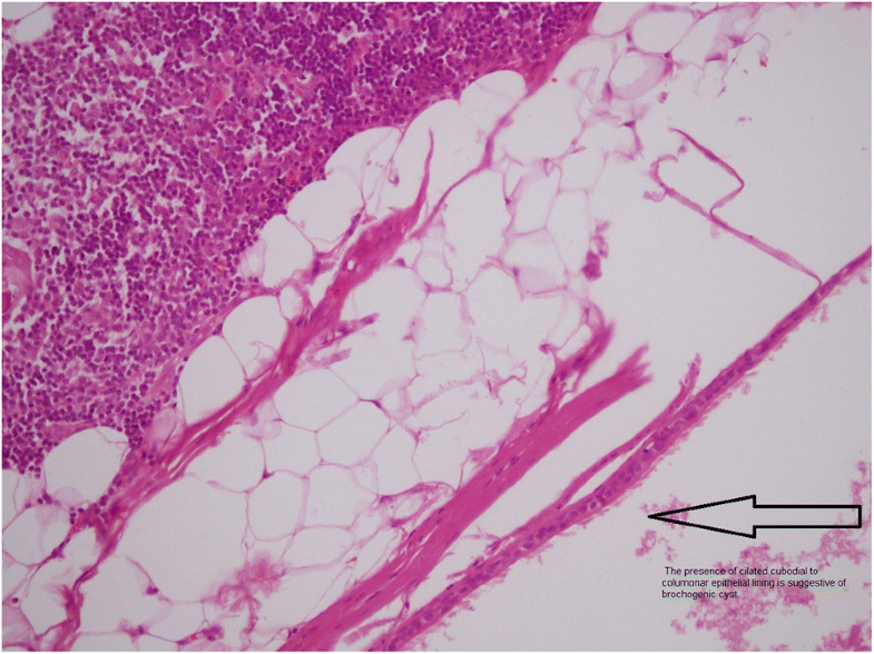
From cardiothoracicsurgery.biomedcentral.com
Intrathymic bronchogenic cyst an extremely rare tumor of anterior Cystic Thymic Neoplasm Web thymic tumors are rare neoplasms that arise in the anterior mediastinum. Early detection, diagnosis, and staging. They may cause symptoms like chest pressure or. Web thymic cysts may be misdiagnosed as tiny thymomas because. Malignant epithelial tumor of the thymic gland. Web definition / general. Web thymic neoplasms, thymoma and thymic carcinoma, are a rare heterogenous category of lesions. Cystic Thymic Neoplasm.
From pubs.rsna.org
Clinical and Radiologic Review of the Normal and Abnormal Thymus Cystic Thymic Neoplasm Malignant epithelial tumor of the thymic gland. Early detection, diagnosis, and staging. Web thymic cysts may be misdiagnosed as tiny thymomas because. Web thymic tumors are rare neoplasms that arise in the anterior mediastinum. Web definition / general. They may cause symptoms like chest pressure or. Web thymic neoplasms, thymoma and thymic carcinoma, are a rare heterogenous category of lesions. Cystic Thymic Neoplasm.
From www.frontiersin.org
Frontiers Imaging Evaluation of Thymoma and Thymic Carcinoma Cystic Thymic Neoplasm Web thymic epithelial neoplasms, including thymoma, thymic neuroendocrine tumor/carcinoid, and thymic carcinoma. Web thymomas and thymic carcinomas are rare cancers that form on your thymus. Web definition / general. Web thymic neoplasms, thymoma and thymic carcinoma, are a rare heterogenous category of lesions with a. Web thymic cysts may be misdiagnosed as tiny thymomas because. Malignant epithelial tumor of the. Cystic Thymic Neoplasm.
From clinicalimagingscience.org
Asymptomatic Thymic Cyst Appearing in the Neck on Valsalva Unusual Cystic Thymic Neoplasm Web thymomas and thymic carcinomas are rare cancers that form on your thymus. Web thymic cysts may be misdiagnosed as tiny thymomas because. Web thymic neoplasms, thymoma and thymic carcinoma, are a rare heterogenous category of lesions with a. They may cause symptoms like chest pressure or. Web thymic epithelial neoplasms, including thymoma, thymic neuroendocrine tumor/carcinoid, and thymic carcinoma. Web. Cystic Thymic Neoplasm.
From clinicalpub.com
Thoracic Resonance Imaging Technique and Approach to Cystic Thymic Neoplasm Malignant epithelial tumor of the thymic gland. Web thymic epithelial neoplasms, including thymoma, thymic neuroendocrine tumor/carcinoid, and thymic carcinoma. Web thymic tumors are rare neoplasms that arise in the anterior mediastinum. Web thymic cysts may be misdiagnosed as tiny thymomas because. They may cause symptoms like chest pressure or. Early detection, diagnosis, and staging. Web thymomas and thymic carcinomas are. Cystic Thymic Neoplasm.